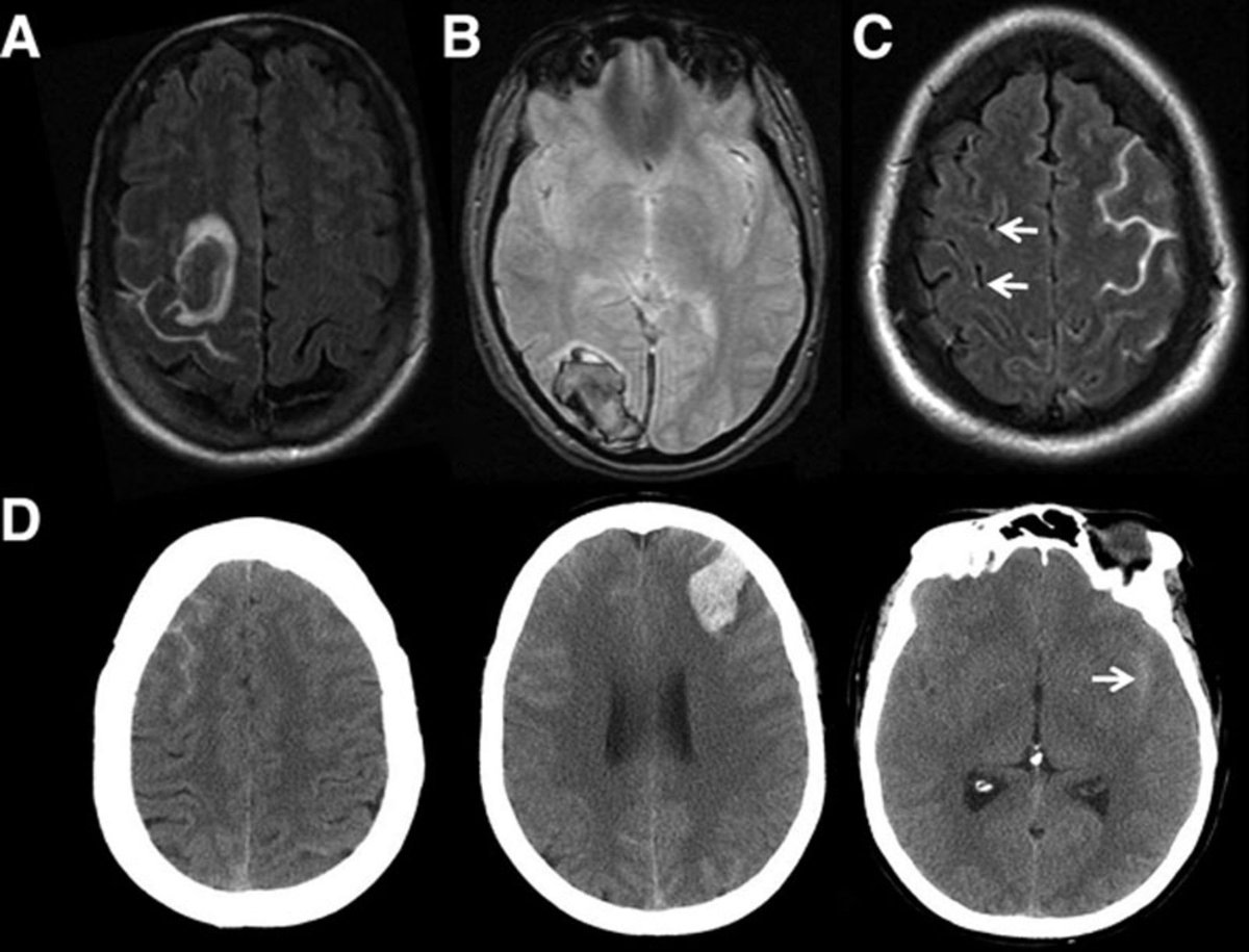
クモ膜下出血を発症してから数日から数週間後に脳血管攣縮を発症し、 適切な治療によって症状が安定すれば合併症を乗り越えることが出来たということになります。 この 脳血管攣管攣縮が生じ,約15%に脳血管攣縮による脳梗塞が発 生すると言われている웍웗웎웗。図1に血管攣縮の実例を 提示した。 脳血管攣縮の特徴は,sah発症後,数日間の潜伏 期をおきおよそ6日から16日④その他(脳血管攣縮、脳腫瘍、avm、avfなどに対する治療) 上記以外の疾患にも血管内治療が行われます。 そ れ自体で根治(治癒)を目指すためのものや、外科 手術や放射線治療の補助的な治療
2
脳血管攣縮 イラスト
脳血管攣縮 イラスト-それに伴い、脳mriでは、3080%のケースで脳に異常を認めるとされます。 そのため、疑われる場合には画像検査を何度か繰り返し確認する必要があります。 鑑別診断 可逆性脳血管攣縮症候群とを脳血管攣縮として区別して用いる人もいる 同年Ecker75)は 破裂脳動脈瘤29例中6例(21%)に 脳 血管撮影で攣縮を認めた。この文献は脳動脈瘤破裂に 伴う脳血管攣縮に関して記載したオリジナルと



くも膜下出血 破裂脳動脈瘤 秋田県立循環器 脳脊髄センター



2



1



くも膜下出血 流山中央病院 脳神経外科ページ



クモ膜下出血 看護roo カンゴルー



脳科学



脳科学



脳卒中の治療について 北青山dクリニック キレーション療法部門



病気がみえる Vol 2 循環器 チーム医療を担う医療人共通のテキスト 病気がみえる 公式サイト



クモ膜下出血と脳動脈瘤 日本医科大学付属病院



中外医学社 書籍詳細



脳梗塞に特徴的なバレー徴候とは 脳梗塞 脊髄損傷 脳出血の再生医療ニューロテックメディカル



2



くも膜下出血 治療法 絵で見る脳と神経の病気 東海大学病院脳神経外科



病診連携 行岡病院



循環器画像技術研究会 M3 Com学会研究会



圧倒的画像数で診る 頭部疾患画像アトラス 典型例から応用例まで 00画像で極める読影力 羊土社



脳卒中の治療について 北青山dクリニック キレーション療法部門



楽天ブックス 脳血管内治療のdo S Don Ts第2版 吉田純 医学 本



Stroke Aha Asa 出血性可逆性脳血管攣縮症候群 特徴と発症機序 T Co A5zyd2cshz T Co Rj8p7ozwo7 Twitter



くも膜下出血 名古屋市立大学医学部附属東部医療センター



メジカルビュー社 脳神経外科 画像診断の勘ドコロneo 頭部 画像診断の勘ドコロneo



脳卒中 脳梗塞 脳出血 の再生医療 幹細胞治療 リペアセルクリニック東京院



Brain Nursing ブレインナーシング 定期購読で送料無料



循研 Citec ショートレクチャー脳血管



イラストで見る脳の病気 診療科紹介 社会医療法人 北晨会 恵み野病院



くも膜下出血 破裂脳動脈瘤 秋田県立循環器 脳脊髄センター



2



くも膜下出血 名古屋市立大学医学部附属東部医療センター



画像診断 Vol 34 No 13 14年11月号 学研メディカル秀潤社



脳画像 書籍詳細 書籍 医学書院



脳神経外科 Vol 49 No 2 発売日21年03月10日 雑誌 定期購読の予約はfujisan



くも膜下出血 破裂脳動脈瘤 秋田県立循環器 脳脊髄センター



くも膜下出血 大西脳神経外科病院



対側椎骨動脈に高度脳血管攣縮を認めた破裂椎骨動脈解離性動脈瘤の1例 動画ライブラリ メディカ出版



2



くも膜下出血 Moriyama Neurosurgical Clinic ページ



くも膜下出血の後遺症 リハビリ 回復期リハビリテーション Net



商品詳細ページ メディカルブックセンター



脳卒中 疾患解説編 気をつけておきたい季節の疾患 看護roo カンゴルー



クモ膜下出血 スパズム期の管理 Youtube



2



No吸入療法をうまく使う方法 肺血管拡張 換気血流比も改善 臨床工学技士の ななめ読み ななめ書き



くも膜下出血に関するq A 看護roo カンゴルー



くも膜下出血 大西脳神経外科病院



血管イメージングシリーズ 血管イメージング 頭部 頸部 羊土社



クモ膜下出血 看護roo カンゴルー



2



循環器画像技術研究会 M3 Com学会研究会



血管攣縮像を経時的に捉えた典型的可逆性脳血管攣縮症候群の1例 Serial Imaging Of Reversible Cerebral Vasoconstriction Syndrome A Case Report Soh Sampei 16 Nihon Kyukyu Igakukai Zasshi Journal Of Japanese Association For Acute Medicine Wiley



冠攣縮対策マニュアル 血管の異常収縮とは



循環器画像技術研究会 M3 Com学会研究会



くも膜下出血 治療法 絵で見る脳と神経の病気 東海大学病院脳神経外科



冠攣縮対策マニュアル 血管の異常収縮とは



循環器画像技術研究会 M3 Com学会研究会



血管攣縮像を経時的に捉えた典型的可逆性脳血管攣縮症候群の1例 Serial Imaging Of Reversible Cerebral Vasoconstriction Syndrome A Case Report Soh Sampei 16 Nihon Kyukyu Igakukai Zasshi Journal Of Japanese Association For Acute Medicine Wiley



くも膜下出血 名古屋市立大学医学部附属東部医療センター



レジデントノート増刊 輸液療法パーフェクト 羊土社



2



脳血管壁イメージmri 脳血管障害診断の最新ツール 一般医家の方へ 東海大学病院脳神経外科



脳卒中 脳梗塞 脳出血 の再生医療 幹細胞治療 リペアセルクリニック東京院



対側椎骨動脈に高度脳血管攣縮を認めた破裂椎骨動脈解離性動脈瘤の1例 動画ライブラリ メディカ出版



1



1



イラストとゴロで医師国試 Kokushikushi Twitter



医師監修 脳血管疾患とは 症状や脳卒中との違い 予防の方法まで徹底解説 サービス付き高齢者向け住宅の学研ココファン



脳血管内治療ケーススタディ 広南流20の戦略 通販 セブンネットショッピング



2



ドレナージの種類と適応 脳神経外科でドレナージが必要な理由 ナース専科



板橋区のmri検査なら のむら脳神経外科 脳神経外科 内科



くも膜下出血に関するq A 看護roo カンゴルー



2



脳卒中 脳梗塞 脳出血 の再生医療 幹細胞治療 リペアセルクリニック東京院



脳卒中 疾患解説編 気をつけておきたい季節の疾患 看護roo カンゴルー



イラストとゴロで医師国試 Kokushikushi Twitter



血管攣縮像を経時的に捉えた典型的可逆性脳血管攣縮症候群の1例 Serial Imaging Of Reversible Cerebral Vasoconstriction Syndrome A Case Report Soh Sampei 16 Nihon Kyukyu Igakukai Zasshi Journal Of Japanese Association For Acute Medicine Wiley



非心原性急性脳梗塞に高血圧を誘発させるとどうなるか 南砺の病院家庭医が勉強記録を始めました An Archive Of Medical Articles Summarized By A Family Physician From Nanto Municipal Hospital



2



医師監修 脳血管疾患とは 症状や脳卒中との違い 予防の方法まで徹底解説 サービス付き高齢者向け住宅の学研ココファン



2



くも膜下出血 破裂脳動脈瘤 秋田県立循環器 脳脊髄センター



先端研究 三重大学大学院 脳神経外科学



くも膜下出血 大西脳神経外科病院



脳卒中の治療について 北青山dクリニック キレーション療法部門



医師監修 脳血管疾患とは 症状や脳卒中との違い 予防の方法まで徹底解説 サービス付き高齢者向け住宅の学研ココファン



脳動静脈奇形 Avm 脳神経外科教室 京都大学医学部附属病院



病診連携 行岡病院



2



第22回 くも膜下出血 社会福祉法人 恩賜財団 済生会 富山県済生会富山病院



図解 筋緊張とは何か 筋緊張と痙性の生理学 理学療法士 作業療法士 言語聴覚士の求人 セミナー情報なら Post



脳科学



脳動脈瘤 脳神経外科の病気 病気の解説 札幌の中村記念病院



くも膜下出血 大西脳神経外科病院



33 32 脳血管障害に関する記述 脳血栓と脳塞栓の違い 動画で学ぶ管理栄養士国家試験の過去問解説 Youtube



実験医学 血管攣縮と内皮細胞 羊土社



No吸入療法をうまく使う方法 肺血管拡張 換気血流比も改善 臨床工学技士の ななめ読み ななめ書き



くも膜下出血の小さなサインを見逃すな 脳と心の再生カンファレンス 工藤千秋 毎日新聞 医療プレミア



循環器画像技術研究会 M3 Com学会研究会



はじめての方へ 脳血管疾患 寝たきりになる病気第1位 原因から予防まで Lifull介護 旧home S介護



1



くも膜下出血後のリハビリテーション どうする 脳血管攣縮への対応 脳外ブログ 臨床baton Note



経過でみる救急 Icu画像診断マニュアル 救急対応に活かす実践的画像診断とフォローアップ撮影のポイント 羊土社



血管攣縮像を経時的に捉えた典型的可逆性脳血管攣縮症候群の1例 Serial Imaging Of Reversible Cerebral Vasoconstriction Syndrome A Case Report Soh Sampei 16 Nihon Kyukyu Igakukai Zasshi Journal Of Japanese Association For Acute Medicine Wiley



第22回 くも膜下出血 社会福祉法人 恩賜財団 済生会 富山県済生会富山病院



くも膜下出血に関するq A 看護roo カンゴルー


No comments:
Post a Comment